

RX SITUATION INITIALE


résultat après traitement
REMPLACEMENT D’UNE DENT DU SOURIRE PAR UN IMPLANT EN MISE EN ESTHÉTIQUE IMMÉDIATE.
ICI VERSION DÉFINITIVE DE LA COURONNE SUR IMPLANT AVEC UN COSMÉTIQUE EN CÉRAMIQUE

RX SITUATION INITIALE


résultat après traitement
REMPLACEMENT D’UNE DENT DU SOURIRE PAR UN IMPLANT EN MISE EN ESTHÉTIQUE IMMÉDIATE.
ICI VERSION DÉFINITIVE DE LA COURONNE SUR IMPLANT AVEC UN COSMÉTIQUE EN CÉRAMIQUE

SITUATION INITIALE


résultat après traitement
REMPLACEMENT D’UNE DENT DU SOURIRE PAR UN IMPLANT EN MISE EN ESTHÉTIQUE IMMÉDIATE.
ICI VERSION DÉFINITIVE DE LA COURONNE SUR IMPLANT AVEC UN COSMÉTIQUE EN CÉRAMIQUE

SITUATION INITIALE


résultat après traitement
REMPLACEMENT D’UNE DENT DU SOURIRE PAR UNE COURONNE.
ICI LA VERSION DÉFINITIVE DE LA COURONNE CÉRAMO-CÉRAMIQUE SUR LA RACINE NATURELLE AVEC UN COSMÉTIQUE EN CÉRAMIQUE

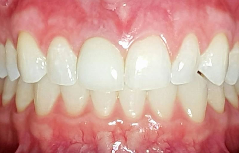
SITUATION INITIALE


résultat après traitement
REMPLACEMENT DE DEUX DENTS DU SOURIRE PAR DEUX COURONNES.
ICI LA VERSION DÉFINITIVE DE LA COURONNE CÉRAMO-CÉRAMIQUE SUR LA RACINE NATURELLE AVEC UN COSMÉTIQUE EN CÉRAMIQUE
Le remplacement d’une incisive manquante ou endommagée est essentiel pour préserver l’esthétique du sourire et la fonction masticatoire. Les implants dentaires et les couronnes représentent des solutions durables et esthétiques. Ces procédures sont cruciales pour restaurer la confiance en soi et améliorer la qualité de vie des patients.
Le remplacement des incisives par des implants dentaires ou des couronnes permet de restaurer l’esthétique et la fonction du sourire de manière durable. Ces interventions améliorent non seulement l’apparence mais aussi la confiance en soi et la qualité de vie des patients. Pour en savoir plus sur ces options de traitement, contactez-nous.
AVIS AUX INTERNAUTES :
Conformément aux principes déontologiques édictés par le conseil de l’ordre des Chirurgiens-Dentistes français, il est impératif de rappeler aux internautes que les cas cliniques présentés sur ce site ne doivent en aucun cas être interprétés comme une garantie de résultats en relation avec leur condition pathologique spécifique. Ils sont exclusivement présentés à titre illustratif, dans un but pédagogique visant à informer sur les traitements décrits dans les textes de ce site. Les exemples de cas cliniques traités ont pour vocation de permettre aux éventuels patients d’appréhender les résultats envisageables, cependant, ils ne peuvent en aucun cas être considérés comme étant systématiques ou garantis. Leur unique objectif est de faciliter la compréhension des protocoles de traitement mis en place, tels qu’ils sont vulgarisés sur ce site internet. Il est essentiel de prendre en compte que chaque cas clinique présente des particularités, des difficultés et des aléas toujours possibles. Cette réalité est indispensable afin d’appréhender de manière optimale les solutions proposées dans les plans de traitement établis par le Dr Weinman, permettant ainsi au patient de donner un consentement éclairé, à la suite d’une information claire et loyale. Il est donc primordial de se référer en tout temps à l’expertise du praticien et de considérer que chaque situation clinique est unique, pouvant entraîner des résultats variables, y compris des aléas voire des échecs potentiels.
La rédaction
Pour offrir les meilleures expériences, nous utilisons des technologies telles que les cookies pour stocker et/ou accéder aux informations des appareils.
Le fait de ne pas consentir ou de retirer son consentement peut avoir un effet négatif sur certaines caractéristiques et fonctions.

