Le cas de Maude, PAR LE DR JÉRÔME WEINMAN, CHIRURGIEN-DENTISTE À PARIS, MÉDECIN DENTISTE À GENÈVE

Après l’extraction d’une incisive centrale, la gencive est reconstruite autour de l’implant posé et sa couronne céramique.
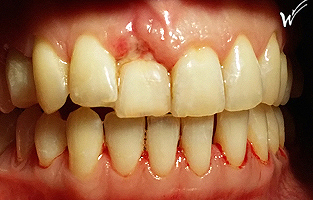
L’incisive centrale de cette patiente, Maude, a été extraite suite à un problèmes de rhizalyse (résorption pathologique de la racine) de la racine. Une infection est à l’origine de cet événement.
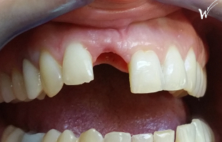
Suite à l’extraction de l’incisive, une greffe de biomatériaux osseux (substitut osseux) a été réalisée afin de combler l’alvéole déshabitée. De plus, la paroi externe de l’alvéole est extrêmement fine et il est indispensable de la réparer ou de la consolider, afin de limiter sa résorption. Cette paroi autour de la racine naturelle de l’incisive est de quelques dixième de millimètre et sa finesse est incompatible avec la pose d’un implant uniquement. Il faut considérer le vieillissement des tissus péri-implantaires afin de maintenir une esthétique qui, à ce niveau, est primordiale.
Au moment de l’extraction, la réalisation d’une greffes épithélio-conjonctive est indispensable. Il faut avoir une chance de reconstruire d’une part le festonnage gingivale à la bonne hauteur mais aussi bien sûr, les papilles gingivales qui disparaissent avec l’extraction de la dent. dans ce cas j’ai choisit une greffe non pédiculée avec un prélèvement au fond de la bouche.
Les protocoles modernes de pose de membranes de PRF (Plasma riche en Fibrine), contenant des facteurs de croissances plaquettaires cicatriciels et des cellules souches, sont des avantages majeurs dans la reconstruction immédiate de la micro-vascularisation qui, elle-même, est déterminante pour la cicatrisation primaire et pour la pérennité dans le temps des tissus mous et durs. Les cliniciens affinent en permanence ces protocoles, conjointement à celui d’injections de PRP (Plasma Riche en Plaquettes) en pré-opératoire. Les plaquettes recrutent les cellules ce qui augment le potentiel de reconstruction des tissus précédemment cité.
Suite à l’extraction et implant a été placé dans l’alvéole dans l’axe de la racine pour remplacer la racines.
A ce stade, un guide chirurgical peut être une aide efficace, surtout pour éviter un obstacle anatomique (comme de paquet vasculo-nerveux contenu dans le trou rétro-incisif).
Un guidage digital au moment de la pose est possible. Une couronne céramique cosmétique fixe de reconstruction de la couronne dentaire naturelle est réalisée après l’ostéo-intégration de l’implant dentaire et la maturation des greffes.
La conservation de l’esthétique du sourire est conditionnée essentiellement par la reconstruction des tissus gingivaux autour de la couronne céramique cosmétique et osseux autour de l’implant.
AVIS AUX INTERNAUTES :
Conformément aux principes déontologiques édictés par le conseil de l’ordre des Chirurgiens-Dentistes français, il est impératif de rappeler aux internautes que les cas cliniques présentés sur ce site ne doivent en aucun cas être interprétés comme une garantie de résultats en relation avec leur condition pathologique spécifique. Ils sont exclusivement présentés à titre illustratif, dans un but pédagogique visant à informer sur les traitements décrits dans les textes de ce site. Les exemples de cas cliniques traités ont pour vocation de permettre aux éventuels patients d’appréhender les résultats envisageables, cependant, ils ne peuvent en aucun cas être considérés comme étant systématiques ou garantis. Leur unique objectif est de faciliter la compréhension des protocoles de traitement mis en place, tels qu’ils sont vulgarisés sur ce site internet. Il est essentiel de prendre en compte que chaque cas clinique présente des particularités, des difficultés et des aléas toujours possibles. Cette réalité est indispensable afin d’appréhender de manière optimale les solutions proposées dans les plans de traitement établis par le Dr Weinman, permettant ainsi au patient de donner un consentement éclairé, à la suite d’une information claire et loyale. Il est donc primordial de se référer en tout temps à l’expertise du praticien et de considérer que chaque situation clinique est unique, pouvant entraîner des résultats variables, y compris des aléas voire des échecs potentiels.
La rédaction