LE CAS DE XENIA, EXEMPLE DE CAS CLINIQUE D’UN IMPLANT DENTAIRE REMPLAÇANT LA DENT PRINCIPALE DU SOURIRE : L’INCISIVE CENTRALE DROITE
PAR LE DR JÉRÔME WEINMAN, CHIRURGIEN-DENTISTE À PARIS ET GENÈVE

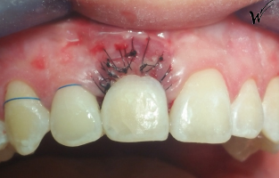
Xenia, exemple de cas complexe de reconstruction esthétique de la couronne d’un incisive centrale et de son parodonte, après l’extraction de la dent.
Ce cas clinique illustre une procédure complexe réalisée par le Dr Jérôme Weinman, spécialisée dans la reconstruction esthétique et la chirurgie implantaire. Le remplacement d’une incisive centrale est un défi en termes d’esthétique dentaire, particulièrement en ce qui concerne la préservation du festonnage gingival et des papilles interdentaires. Ce cas concerne une patiente d’origine japonaise avec un sourire gingival prononcé, où la moindre rétraction gingivale ou résorption osseuse aurait eu un impact significatif sur l’esthétique globale du sourire.
La patiente souffrait de rhizalyse (résorption pathologique de la racine) et d’une infection radiculaire, rendant l’extraction inévitable. Après l’extraction, un substitut osseux biosynthétique a été placé dans l’alvéole pour maintenir le volume osseux, comme recommandé par Esposito et al., 2014, qui soulignent l’importance du maintien de la structure alvéolaire pour un résultat esthétique optimal après extraction dentaire . Cette phase est cruciale pour éviter une résorption rapide de l’os alvéolaire, particulièrement dans la paroi vestibulaire.
Afin de reconstruire l’os péri-implantaire et les tissus mous, une greffe épithélio-conjonctive a été réalisée pour restaurer le festonnage gingival et les papilles. La greffe pédiculée avec prélèvement palatin rétro-incisif permet de maintenir le volume gingival, conformément aux techniques de Zuhr et Hürzeler (2011) qui ont démontré l’efficacité des greffes tissulaires dans la restauration esthétique des papilles .
Le PRP (Plasma Riche en Plaquettes) et le PRF (Plasma Riche en Fibrine) ont été utilisés pour maximiser la régénération des tissus durs et mous. Selon une étude de Choukroun et al. (2006), le PRF stimule la cicatrisation et améliore la régénération des tissus péri-implantaires, en favorisant la revascularisation . Cette approche est essentielle pour garantir la cicatrisation primaire et prévenir la rétraction gingivale, comme le recommande également Misch (2015) dans les cas d’implantologie esthétique.
Un implant dentaire a été inséré dans l’axe de la racine extraite. L’usage d’un guide chirurgical permet une précision maximale, garantissant une intégration parfaite dans l’os. Aghaloo et Moy (2007) ont démontré l’importance du guidage numérique pour minimiser les risques et assurer un placement optimal dans les reconstructions esthétiques complexes.
Après la cicatrisation des tissus mous et durs, une couronne céramique cosmétique a été fabriquée sur mesure en zircone, un matériau reconnu pour sa résistance et son esthétique, comme recommandé par Raigrodski (2004) . La CFAO (Conception et Fabrication Assistée par Ordinateur) permet de créer une prothèse d’une grande précision pour s’adapter au sourire gingival de la patiente.
Grâce à une gestion rigoureuse du festonnage gingival et de l’os alvéolaire, la patiente a retrouvé un sourire naturel, sans rétraction gingivale ni résorption osseuse visible autour de l’implant. Ce cas illustre l’importance de la reconstruction tissulaire immédiate avec l’utilisation du PRF et du PRP pour maintenir une esthétique dentaire parfaite à long terme.
Pour offrir les meilleures expériences, nous utilisons des technologies telles que les cookies pour stocker et/ou accéder aux informations des appareils.
Le fait de ne pas consentir ou de retirer son consentement peut avoir un effet négatif sur certaines caractéristiques et fonctions.

