RESTRUCTURATION DE L’ESTHÉTIQUE DENTAIRE CHEZ UN « QUINQUA » AYANT PEUR DU DENTISTE
PAR LE DOCTEUR JÉRÔME WEINMAN CHIRURGIEN DENTISTE À PARIS ET GENÈVE
Cas de restructuration de l’esthétique dentaire, du sourire, du visage et de l’esprit chez un « quinqua » dentophobique grâce à des couronnes céramiques cosmétiques après des allogreffes osseuses pré-implantaires et la pose d’implants dentaires.
Chez un patient stomatophobique, voici un exemple de reconstruction du sourire et du visage grâce à des protocoles chirurgicaux et prothétiques complexes. Plus précisément : Reconstruction des maxillaires par greffes osseuses, élévation de sinus, pose des implants, pose de prothèses scellées sur implants.
Ce patient d’une cinquantaine d’années est venu consulter à mon cabinet en affirmant sa volonté de se faire refaire toutes les dents puisqu’il était défiguré. Son désir fort était contrarié par une forme de phobie du dentiste qui lui donne de nausée incoercible dans le cabinet dentaire au cours des soins. Un plan de traitement global a été construit et a pu être réalisé grâce à des séances sous anesthésie générale pour la partie chirurgicale lourde et aussi sous sédation type diazanalgésie pour les soins dentaires. Il est intéressant de remarquer que rapidement le patient étant mis en confiance au sein du cabinet grâce à une ambiance « bon enfant » n’a plus eu besoin d’avoir recours à ces techniques.
Pose d’implants dentaires, greffes osseuses pré-implantaires, comblement de sinus et esthétique

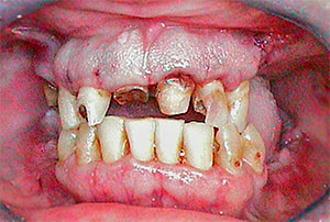
De face: Les dents antérieures du haut et du bas sont très endommagées par la carie dentaire et l’absence de soins. L’ensemble de ces dents sera restauré et sauvé.

A la mâchoire inférieures droite : Les racines dentaires des dents postérieures droites sont à extraire et une greffe osseuse de reconstruction de l’os de la mâchoire avec un substitut osseux synthétique (matribone®) à cet endroit est prévue afin de pouvoir poser des implants.
Profil droit à la mâchoire supérieure : La dent postérieure droite sera récupérée pour faire un bridge et éviter la chirurgie et les implants dentaires.

Profil gauche inférieure: Idem que le coté droit.
Profil gauche supérieur: voir ci-dessous
Scanner de départ précisant les régions inférieures postérieures droite et gauche et aussi supérieure postérieure droite. Vue du panoramique issue du scanner Cone Beam NEWTOM®

Profil gauche supérieur: Le problème en haut à gauche est le même que sur les autres cotés. A savoir les extractions des racines des dents perdues qui doivent être accompagnées par un comblement du vide osseux qui en résulte par des greffes osseuses. Mais dans ce cas il y a deux complications supplémentaires. Voir explications ci-après.
LECTURE DU SCANNER DANS LE PLAN HORIZONTAL:
PROBLEME 1: L’épaisseur d’os résiduel est trop insuffisante pour pouvoir mettre des implants car inférieure ou égale au diamètre du plus petit implant soit 3 mm. Comme le confirme le panoramique issu du scanner Cone Bean NEWTOM® ci-dessous : le manque d’épaisseur de la crête est souligné par les traits rouges.

SOLUTION 1: Il faut donc pratiquer une augmentation osseuse latérale de la crête pour au moins doubler celle-ci grâce à une greffe osseuse par régénération osseuse guidée (ROG). Dans ce cas de l’os de banque de type BIOBank® est utilisé associé à une membrane BIO-Gide® Geistlich.
LECTURE DU SCANNER DANS LE PLAN VERTICAL:
PROBLEME 2: La hauteur d’os résiduel sous le sinus gauche est trop insuffisante pour pouvoir mettre des implants car très inférieure à la hauteur du plus petit implant soit 7 mm. Comme le confirme le panoramique issu du scanner Cone Beam NEWTOM® ci-dessous :

SOLUTION 2: Une élévation du sinus de ce côté est également prévue dans le même temps opératoire que l’augmentation de crête horizontale avec un matériau de comblement différent : matribone®.
TOUTES CES INTERVENTIONS PROGRAMMEES SONT REALISÉES EN UNE SEULE OPERATION AU BLOC OPRATOIRE SOUS ANESTHESIE GENERALE EN 5 HEURES AFIN DE COMPACTER LES ETAPES ET GAGNER DU TEMPS ET DE LA PEINE.
REMARQUE: Les techniques de sédation par diazanalgésie ayant été considérablement affinées ainsi que les protocoles chirurgicaux je pense qu’aujourd’hui une intervention multipolaire de ce genre pourrait être réalisée au cabinet et ainsi éviter la lourdeur de la clinique et de l’anesthésie générale. Un contrôle post-opératoire par scanner Cone Beam est réalisé après l’intervention.
Les résultats scanner post-opératoires des greffes osseuses pré-implantaires: comblement de sinus supérieur gauche et comblements alvéolaires post-extractionels inférieurs.
Ci-dessous : Contrôle scanner des extractions et greffes de comblement inférieures à droite et à gauche avec un substitut osseux (Matribone®)

Des dents provisoires en résine permettent de faire une maquette du sourire comme le ferait un architecte avec une maison. On peut donc vérifier l’esthétique et la fonction. A partir de cette maquette la forme des dents mais aussi l’esthétique du visage vont être travaillées. Les racines des dents seront restaurées grâce à des traitements endodontiques (dévitalisation des dents) et la pose d’inlay core anciennement appelés « pivots ».



La pose des inlays core permet de reconstruire des moignons dentaires supra-radiculaires qui seront le support d’ancrage des couronnes céramiques.


Essayage esthétique et fonctionnel des couronnes céramiques à la première cuisson appelé stade du « biscuit ». Les couronnes céramiques sur zircone sont scellées sur les moignons dentaires restaurés par les inlay core.
Ci-dessous: La phase d’essayage des « biscuits », c’est-à-dire des premières cuissons de céramique avant le glaçage final, permet de valider l’esthétique et l‘occlusion des dents (morsure ou articulé dentaire). Plusieurs essayages sont en général nécessaires.
Remarque 1: La technique du zircone (les couronnes cosmétiques) permet plusieurs essayages et est plus souple que la techniques des prothèses sur métal.
Remarque 2: Les dents inférieures et antérieures sont naturelles et « jaunes ». Elles seront éclaircies par un procédé de blanchiment.



Cinq mois de cicatrisation osseuse sont nécessaires pour que les greffes réalisées soient exploitables pour la pose d’implants dentaires. Ce « timing » doit être respecté et c’est aussi pour cela que les interventions doivent être faites toutes en même temps afin de ne pas avoir un échelonnement des cicatrisations qui obligerait à attendre la dernière pour poser tous les implants en une seule intervention. Faire une seule intervention pour tous les implants semble lourd mais en réalité cette méthode est beaucoup plus confortable pour le patient que la multiplication de petites opérations qui sont en fait un gros stress psychologique et organisme. Un chirurgien plasticien ne pose pas deux prothèses mammaires l’une après l’autre à quelques semaines d’intervalle c‘est absurde ! Il en va de même pour les soins dentaires.
Les greffes ayant parfaitement réussi les dix implants sont posés en même temps en une seule intervention au bloc opératoire sous sédation. Voici le scanner de contrôle post-opératoire après la pose des 10 implants.
Trois mois de cicatrisation sont nécessaires aux implants avant d’être « chargés » par les prothèses définitives. La première étape est la pose des piliers en titanes vissés sur les implants afin de réaliser un moignon dentaire sur lequel les couronnes seront scellées.
Remarque 1: Dans le système Prowital® la jonction implant-pilier étant un tube dans un contre-tube aucune force ne s’exerce sur la vis de serrage ce qui permet la pose de prothèses assez hautes avec un fort coefficient de « bras de levier » du fait de la résorption osseuse.
Remarque 2: Des greffes par ostéotomies horizontales ou de rotation auraient pu réduire cette perte osseuse verticale mais la complexité et les temps de cicatrisation de ces protocoles chirurgicaux ajoutés aux précédents n’a pas été validé par le patient.




La deuxième étape est de poser les couronnes céramiques sur ces piliers fixés sur les implants comme sur des dents naturelles. Remarques : Une « ombre » rose couleur de la gencive est réalisée sur la céramique dans certains secteurs postérieurs afin de réduire l’effet « dents longues ».
Ci-après le résultat final : Pose des couronnes céramiques définitives sur les racines des dents naturelles et sur les implants dentaires.





Les couronnes céramiques cosmétiques ont été réalisés par le laboratoire de prothèses dentaires Bosvin.
Dans notre société de l’image, du paraître et de la beauté, il est fondamental que « nous ressemblions ce que nous sommes » pour que l’harmonie entre le corps et l’esprit puisse exister. Une personne dont l’image corporelle est anormalement dégradée ne peut être en harmonie avec son environnement social et donc avec elle-même. De plus, dans la compétition de la vie à tous les niveaux privés et professionnels la perte de chance peut être source de drame. Retrouver l’image qui correspond à son esprit et donc a ce que l’on veut paraître aux yeux du monde c’est retrouver sa dignité perdue.
Le visage est le siège de l’expression de l’esprit. Recouvrer son visage, c’est recouvrer l’expression de son esprit, de ses sentiments, de sa sociabilité et donc pouvoir affirmer sa personnalité sociale, sa séduction, son intelligence sans gêne ou honte de se montrer aux autres.
Ci-après photos du visage et de l expression de bien-être du patient après de années de souffrances morales.


AVIS AUX INTERNAUTES :
Conformément aux principes déontologiques édictés par le conseil de l’ordre des Chirurgiens-Dentistes français, il est impératif de rappeler aux internautes que les cas cliniques présentés sur ce site ne doivent en aucun cas être interprétés comme une garantie de résultats en relation avec leur condition pathologique spécifique. Ils sont exclusivement présentés à titre illustratif, dans un but pédagogique visant à informer sur les traitements décrits dans les textes de ce site. Les exemples de cas cliniques traités ont pour vocation de permettre aux éventuels patients d’appréhender les résultats envisageables, cependant, ils ne peuvent en aucun cas être considérés comme étant systématiques ou garantis. Leur unique objectif est de faciliter la compréhension des protocoles de traitement mis en place, tels qu’ils sont vulgarisés sur ce site internet. Il est essentiel de prendre en compte que chaque cas clinique présente des particularités, des difficultés et des aléas toujours possibles. Cette réalité est indispensable afin d’appréhender de manière optimale les solutions proposées dans les plans de traitement établis par le Dr Weinman, permettant ainsi au patient de donner un consentement éclairé, à la suite d’une information claire et loyale. Il est donc primordial de se référer en tout temps à l’expertise du praticien et de considérer que chaque situation clinique est unique, pouvant entraîner des résultats variables, y compris des aléas voire des échecs potentiels.
La rédaction
Pour offrir les meilleures expériences, nous utilisons des technologies telles que les cookies pour stocker et/ou accéder aux informations des appareils.
Le fait de ne pas consentir ou de retirer son consentement peut avoir un effet négatif sur certaines caractéristiques et fonctions.

