deux techniques pour refaire vos dents de devant et rajeunir votre sourire en une semaine grâce aux facettes dentaires en céramique : avec et sans meulage des dents
Par le Dr Jérôme Weinman, chirurgien-dentiste à Paris et Genève.

Le sourire éblouissant d’une mannequin professionnelle après la pose de facettes dentaires en céramique.
Cas réalisé par le Dr Jérôme Weinman
Voici quelques exemples de déroulement de cas cliniques de facettes céramiques dentaires. Ils permettent de vous rendre compte des combinaisons de possibilités d’amélioration de l’esthétique de votre sourire.
Le rajeunissement de votre sourire dépend de la fabrication des facettes dentaires et des matériaux cosmétiques utilisés, en plus, des compétences de l’opérateur et du laboratoire de prothèses dentaires.
Voici l’illustration de fabrication de facettes céramiques dentaires sur mesure, dans des cas complexes réalisées par des maîtres céramistes. La complexité de ces cas clinique s’accommode mal des méthodes simples que permettent les procédés industriels :



























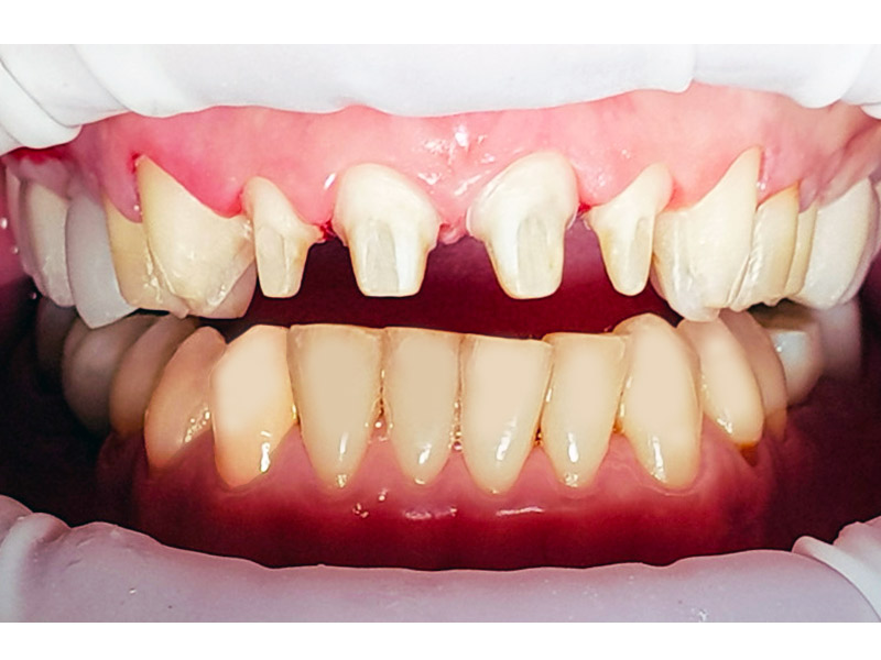
Sandrine, une patiente d’une cinquantaine d’années, s’est présentée pour refaire ses dents de devant et améliorer l’ensemble de son sourire. Elle vit sur un autre continent et devait donc concentrer ses soins en un minimum de temps. Elle souffrait pourtant de dentophobie inconsciente, d’une tachycardie réactionnelle aux soins dentaires, et d’un bruxisme qui avait accéléré l’usure de ses dents. Les conséquences sur son visage et son moral étaient importantes : usure précoce des dents, perte de l’ovale facial et baisse d’estime de soi.
Phobie Dentaire (Dentophobie)
Sandrine subissait une tachycardie vaso-vagale dès qu’elle s’installait sur un fauteuil dentaire. Son anxiété extrême empêchait tout soin prolongé en cabinet classique.
Délabrement de la Dentition
Avec le temps, ses dents s’étaient cariées, fracturées ou déplacées. Le sourire avait perdu sa blancheur et sa forme harmonieuse, affectant fortement sa confiance en elle.
Bruxisme Nocturne
Cette habitude involontaire de grincer des dents la nuit avait réduit la hauteur de ses dents postérieures. Conséquence directe : un raccourcissement du bas du visage et l’apparition précoce de signes de vieillissement (ptoses, rides, lèvres moins soutenues).
Réadaptation Rapide et Soins Intensifs
Venant de l’étranger et disposant d’un temps limité, elle avait besoin d’une solution qui combine plusieurs actes en un laps de temps compact.
Grâce à notre protocole de sédation par IV (narco-hypnose), Sandrine a pu supporter de longues séances de soins sans stress ni douleur. Cette approche lui a permis d’accumuler plusieurs interventions en deux séjours d’environ trois semaines chacun, tout en restant détendue et en “dormant” la quasi-totalité du temps au fauteuil.
Pour refaire ses dents de devant, nous avons choisi des facettes dentaires en céramique feldspathique sur mesure. Ces fines pellicules céramiques ont redonné à Sandrine un sourire éclatant et plus aligné. Leur grande résistance et leur rendu naturel ont renouvelé la confiance de la patiente.
Les dents trop abimées par la caries ou des trop gros composites ont reçues été restaurées par couronnes dentaires également en céramique feldspathique.
En raison du bruxisme, Sandrine présentait une importante usure des dents postérieures, ce qui avait abaissé sa DVO (Dimension Verticale d’Occlusion). Nous avons donc opté pour :
En remontant la Dimension Verticale d’Occlusion, la mâchoire reprend sa hauteur initiale. Résultat : le visage de Sandrine s’est “détassé”, ses joues se sont repulpées et son sourire a retrouvé un cadre harmonieux. L’amélioration esthétique du tiers inférieur facial est souvent spectaculaire dans ce type de reconstruction globale.
En complément, des injections de iPRF et aPRF autour de la bouche ont amélioré la tonicité des tissus mous du visage. Issus des plaquettes sanguines du patient, ces concentrés plaquettaires autologues favorisent la régénération tissulaire et l’effet “coup d’éclat” à la jonction des lèvres et des joues.
En Conclusion, ce cas clinique illustre l’importance d’une approche globale pour refaire ses dents de devant, restaurer le bas du visage et raviver la confiance du patient. Sandrine a retrouvé un sourire parfait et un visage rajeuni. Malgré un bruxisme sévère, un emploi du temps serré et une phobie dentaire, la combinaison de facettes céramiques, de couronnes en zircone, de table tops E-Max et d’un rehaussement de la DVO ont produit un résultat à la fois fonctionnel et esthétique.

Pour offrir les meilleures expériences, nous utilisons des technologies telles que les cookies pour stocker et/ou accéder aux informations des appareils.
Le fait de ne pas consentir ou de retirer son consentement peut avoir un effet négatif sur certaines caractéristiques et fonctions.

