RECONSTRUCTION IMPLANTAIRE DU SOURIRE
LE CAS DE NICOLE : BRIDGE CÉRAMIQUE IMPLANTO-PORTÉ REMPLAÇANT TOUTES LES DENTS
PAR LE DOCTEUR JÉRÔME WEINMAN CHIRURGIEN DENTISTE À PARIS ET À GENÈVE

La reconstruction du sourire et de l’esthétique dentaire peut nécessiter des interventions chirurgicales avancées. Celles-ci allient chirurgie maxillo-faciale, greffes osseuses autogènes et implants dentaires pour répondre à des besoins fonctionnels et esthétiques complexes.
Ce cas illustre les avancées de la chirurgie dentaire, combinant technologie numérique, greffes osseuses autogènes et prothèses esthétiques. Cependant, il est important de préciser que cette intervention date des années 2000.
Aujourd’hui, les prélèvements autogènes, notamment pariétaux ou iliaques, ont été largement remplacés par des substituts osseux ou des greffons allogènes et xénogènes, enrichis en facteurs de croissance plaquettaires issus des concentrations plaquettaires sanguines du patient (PRF et PRP). Ces nouvelles techniques, moins invasives, offrent des avantages significatifs en termes de confort et de résultats.
Pour plus d’informations sur les techniques modernes de reconstruction et de régénération, contactez notre cabinet spécialisé à Paris ou Genève. Nous serons ravis de vous accompagner dans votre projet de transformation dentaire.
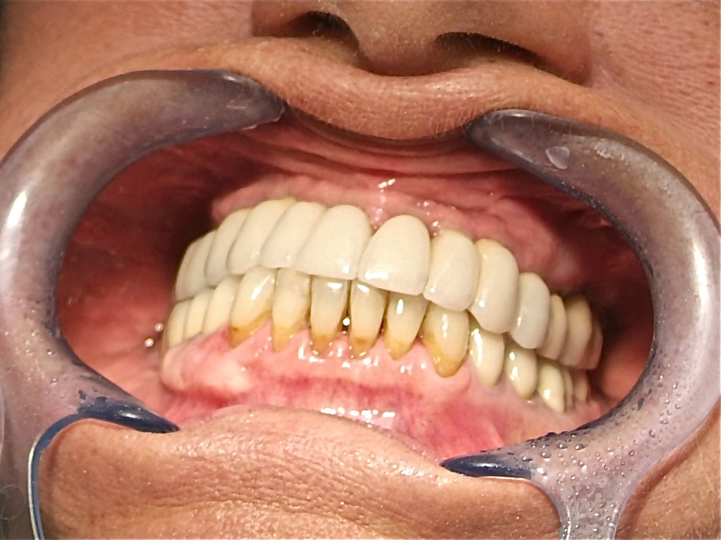
Ce cas porte sur une patiente présentant une destruction sévère du parodonte et une perte généralisée de dents. Voici les étapes clés de sa prise en charge :
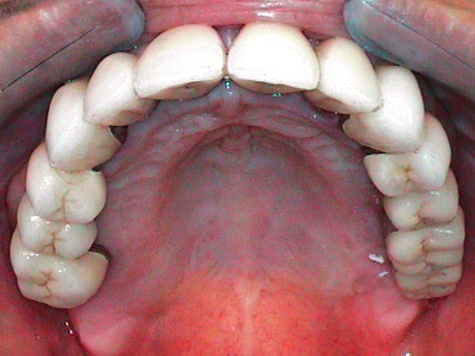
La patiente a bénéficié de prothèses fixes en céramique, conçues pour restaurer son sourire et l’harmonie de son visage. Ces restaurations, soutenues par des implants solides, offrent une fonction masticatoire complète, un confort durable, et une apparence naturelle.
|
|
|
|
Pour offrir les meilleures expériences, nous utilisons des technologies telles que les cookies pour stocker et/ou accéder aux informations des appareils.
Le fait de ne pas consentir ou de retirer son consentement peut avoir un effet négatif sur certaines caractéristiques et fonctions.

