EXEMPLES DE RÉSULTATS CLINIQUES : DES COURONNES DENTAIRES HAUTEMENT ESTHÉTIQUES EN CÉRAMIQUE SUR ZIRCONE POUR UN SOURIRE NATUREL ET DURABLE
PAR LE DR JÉRÔME WEINMAN, CHIRURGIEN-DENTISTE À PARIS ET À GENÈVE


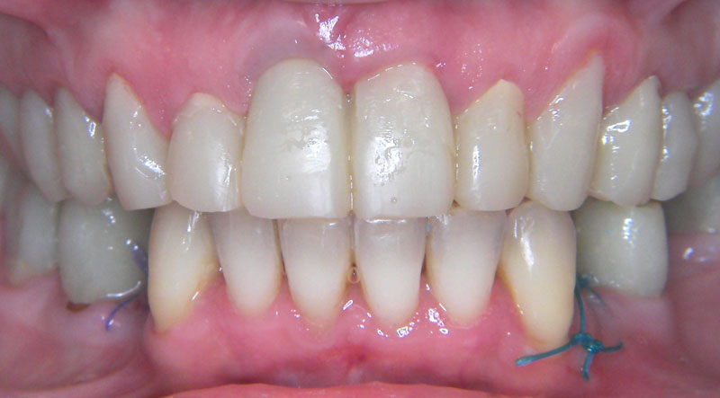
LES RÉSULTATS SUR Nathalie : UNE restructuration de l’esthétique dentaire, du sourire, du visage et de l’esprit chez une quadra hyper active grâce à des couronnes céramiques cosmétiques.

Cas de restructuration de l’esthétique dentaire par des prothèses cosmétiques sans apport chirurgical suite à un vieillissement précoce du sourire et du visage. Le décalage entre l’esthétique du visage et l’âge perçu de la patiente est très mortifère pour son bien être. Son visage sera rajeuni pour mieux coller avec son jeune esprit.
Cette jeune femme présente prématurément une disgrâce de son sourire qui altère l’expression de bonne humeur de son visage. Elle a choisi de mettre en correspondance l’expression de son sourire avec l’image enjouée qu’elle veut donner d’elle-même. Un travail de restauration globale de l’esthétique de ses gencives, puis de ses dents, a été entrepris. La patiente n’a pas opté pour l’orthodontie, de façon à ne pas être associalisée par la pose de bagues pendant un à deux ans.
Elle a choisi de corriger ses malpositions dentaires par des prothèses céramiques. Ces couronnes en céramique pressées de type Empress sur des inlay core céramisés vont lui assurer un retour à une esthétique parfaite de sa denture, et donc par corollaire, un sourire et un visage à la hauteur de ses espérances.
|
|
|
LES RÉSULATS SUR ISABELLE : Cas de restructuration de l’esthétique dentaire par la pose de couronnes céramiques cosmétiques sans apport chirurgical suite à un vieillissement précoce du sourire et du visage.

Le décalage entre l’esthétique du visage et l’âge perçu de la patiente est très mortifère pour son bien être. Son visage sera rajeuni pour mieux coller avec son jeune esprit.
La patiente entre 45 et 50 ans présentait une double souffrance. D’une part des dents mal soignées, cariées et inesthétiques et donc un besoin impérieux d’avoir des dents saines. D’autre part une dysharmonie entre son caractère jeune, vivant et plein d’humour et un aspect prématurément vieillissant et triste de son visage et de son sourire. Le plan de traitement a donc été conçu en fonction de la double stratégie suivante : L’assainissement de toutes les dents malades ou présentant des traitements anciens par des prothèses en céramiques suffisamment esthétiques pour sculpter le sourire et le festonnage gingival. Soit toute l’arcade supérieure et les secteurs postérieurs gauche et droit de l’arcade inférieure.
La restructuration du visage par un protocole anti-âge consistant d’une part à augmenter l’écartement entre les deux arcades dentaires et donc allonger et retendre le bas du visage, et d’autre part grâce à un traitement orthodontique réalisé sur l’arcade inférieure pour propulser en avant les dents du bas afin de pousser la lèvre inférieure et l’ourler vers l’avant. A noter qu’un implant dentaire a été posé et un blanchiment des dents naturelles inférieures et antérieures intactes a été réalisé.
|
|
|
|
Pour offrir les meilleures expériences, nous utilisons des technologies telles que les cookies pour stocker et/ou accéder aux informations des appareils.
Le fait de ne pas consentir ou de retirer son consentement peut avoir un effet négatif sur certaines caractéristiques et fonctions.

